Novo estudo descobre que maioria dos dinossauros tinha sangue quente como as aves
Por sandro
Publicado em 27/05/22 às 07:27
Um novo estudo publicado nesta quarta-feira (25) na revista científica Nature revelou que a contrário do que a maioria das pessoas pensavam, os dinossauros eram em sua maioria animais de sangue quente, como as aves e os mamíferos.
Utilizando uma nova técnica de medição do metabolismo, que consiste em analisar resíduos que se formam quando o oxigênio é inalado no corpo e reage com proteínas, açúcares e lipídios, os pesquisadores conseguiram identificar com maior precisão quais espécies de dinossauros eram de sangue quente ou frio.
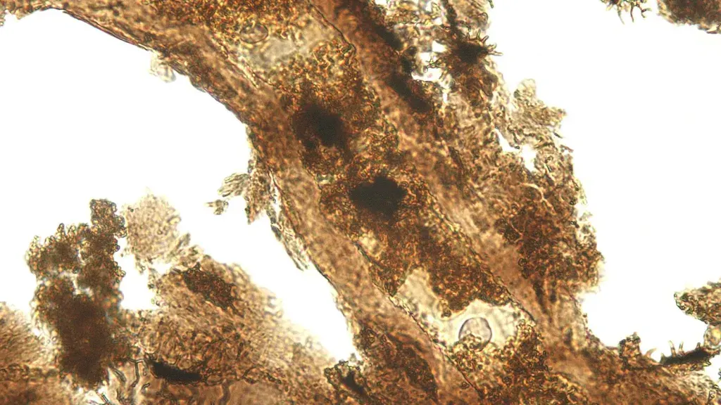
Na pratica, quando reage com determinadas proteínas do corpo, o oxigênio cria manchas escuras nos ossos, e como animais de sangue quente precisam absorver muito oxigênio para manter o metabolismo e queimar muitas calorias para manter o corpo quente, seus ossos possuem mais manchas escuras do que animais de sangue frio, que respiram e comem menos.
Essas moléculas escuras são extremamente estáveis e não se dissolvem na água, sendo preservadas durante todo o processo de fossilização e tornando-se uma marca permanente sobre o tipo de sangue que este animal possuía.

Isso é realmente emocionante para nós como paleontólogos – a questão de saber se os dinossauros eram de sangue quente ou frio é uma das questões mais antigas da paleontologia, e agora achamos que temos um consenso de que a maioria dos dinossauros era de sangue quente, disse Jasmina Wiemann, principal autora do artigo e pesquisadora de pós-doutorado no Instituto de Tecnologia da Califórnia.
Jasmina e sua equipe analisaram ossos de 55 animais diferentes, incluindo 30 animais extintos e 25 modernos. Entre eles estavam vários ossos de dinossauros, que incluía grandes répteis voadores como os pterossauros, vários répteis marinhos, além de aves, mamíferos e lagartos modernos.
Usando uma abordagem chamada espectroscopia de infravermelho, que visa as interações entre moléculas e luz, os pesquisadores puderam quantificar o número de moléculas de resíduos nos fósseis formadas pela absorção de oxigênio. Ao comparar com animais modernos, Jasmina e sua equipe conseguiram identificar padrões semelhantes, criando assim um sistema que permitiu identificar através dos fósseis quais dinossauros eram de sangue quente ou frio.
